1
tumor
1 series
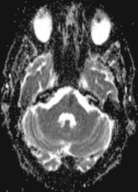
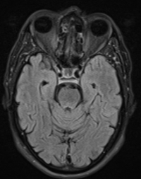
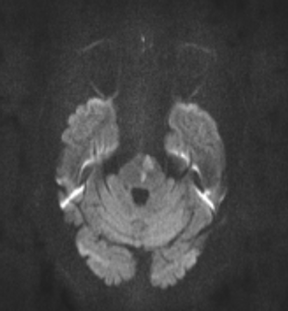
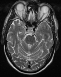
Series 001 — Frontal Lobe Mass (Likely Meningioma) Overview
Initial scan set with key anatomical landmarks and first-pass observations.
Case ID
001
Series
1 series
Images
4
Preview Series (1)
Open to view the series under this case
Expand
Preview Series (1)
Open to view the series under this case
